
Como manter seu tratamento – Contenções Vivera
Mantenha a transformação do seu sorriso alinhada. Evite que os dentes se movimentem e mantenha o seu sorriso alinhado com as contenções Vivera. Como as

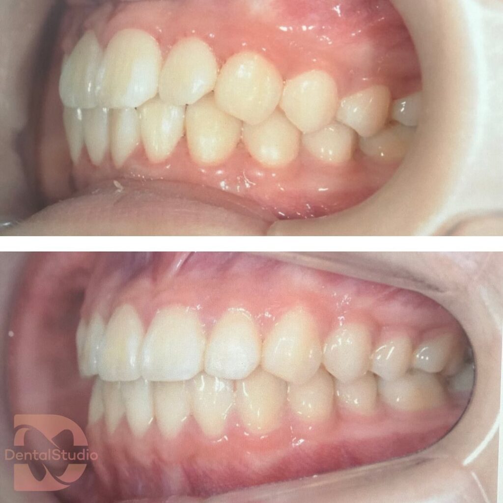
O sistema Invisalign é hoje o que existe de mais moderno entre os aparelhos ortodônticos.
Desenvolvido pela ALIGN TECHNOLOGY dos Estados Unidos, conta com alta tecnologia e precisão.
Através de um poderoso escaneamento 3D feito pelo iTero, conseguimos a medida individualizada, diante o que cada paciente precisa, corrigindo desde os casos mais simples até os mais complexos.
Os alinhadores são personalizados exclusivamente para cada paciente, é composto por uma série de alinhadores transparentes, que são trocados periodicamente e, gradualmente, movem os dentes para posição ideal.
O tratamento com Invisalign pode ser feito em todas as idades, incluindo crianças, adolescentes e adultos.
Vantagens do Invisalign:










Mantenha a transformação do seu sorriso alinhada. Evite que os dentes se movimentem e mantenha o seu sorriso alinhado com as contenções Vivera. Como as

Venha transformar o seu sorriso e ganhe o do seu amado(a) Agende pelo Whatsapp O clareamento dental é recomendado também antes da realização de

Descubra como o Invisalign pode transformar seu sorriso sem que ninguém perceba Ter um sorriso bonito e alinhado pode fazDescubra como o Invisalign pode

O Invisalign é um aparelho ortodôntico transparente, invisível, o tratamento tem início com uma consulta com um ortodontista credenciado em Invisalign. Depois de aprovar

Durante todo o mês dos namorados estamos com várias condições especiais para você ! Nós preparamos várias condições especiais para você presentear seu(a) amado(a) !

Como funciona o tratamento com Invisalign® Agende uma consulta conosco e veja uma simulação do seu novo sorriso ! Usando o scanner iTero Element®, rapidamente